Emergency respiratory procedures are rarely relaxing. They present different challenges depending on patient anatomy and etiology of the respiratory distress. Although not calming, they can be “fun” to those of us in the emergency service field. I say ‘fun’ because they appeal to our intellectual, ‘adrenaline junky desire to rescue others’ mentality. But sometimes the stakes are so high that we are holding our breath while we try to restore an adequate airway to our patient.
On Christmas Eve, I was in the ED, minding my own business, when the radio sounded for a Code 3 pediatric respiratory distress; the response team was two minutes out.
When they arrived, the crying baby was held by the medic as she walked into the ED. The wheezing was audible, and there was some drooling (from the child, not the paramedic!). However, her color was pink and she looked alert and rather angry. (I’d be mad too if I couldn’t breathe well.) She seemed to favor keeping her head hyperextended. Smart kid!
The paramedic reported that on arrival at the patient’s house, the EMS crew had encountered a very worried mother with an awake, crying child with audible wheezing and coughing, who would sometimes vomit. The vomit was tinged with blood. Appropriately they started blow-by oxygen, and after a brief assessment, the crew rapidly transported the child Code 3.
![]() Photo Robert Donovan |
I’ve known the paramedic who was on this case a long time, and she’s top-notch. Upon arrival at the ED, she apologized that they didn’t start an IV or try to intubate. Their gut decision was to transport rapidly since the child was still breathing, and they thought getting her to the ED as quickly possible was the best choice. I agree wholeheartedly! They made the right decision and hopefully I remembered to commend her on it. If not, I do so now. These are tough decisions when in the field, and the combination of critical thinking combined with experience paid off.
Figuring it out
A number of possibilities were considered, and I talked to the ED team as we applied monitors.
“Noisy breathing, sudden onset, could it be epiglottitis?” I queried aloud.
Maybe. We had an ill child with difficulty swallowing and noisy breathing.
Or maybe not. The child had her immunizations and possessed no fever.
“It could be croup,” I continued. However, I heard no barking cough. I then considered RSV, since we already saw a few kids with that diagnosis. (However, RSV patients usually just breathe hard and don’t have a lot of swallowing problems, which this child appeared to have.) Finally, it could have been a foreign body. She had noisy breathing, which had a sudden onset and blood-tinged mucus. Even though there was no report that the child had put anything in her mouth, that doesn’t mean it didn’t happen.
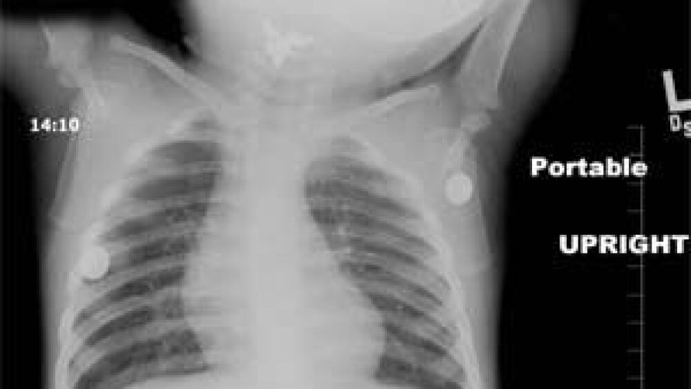
I ordered a quick chest X-ray as we were getting prepared, and that cinched the diagnosis. A metallic foreign body was found in the pharynx, near the area of the epiglottis.
I quickly reviewed the medical history with the mother, which proved unremarkable. The pregnancy was normal with normal delivery. Immunizations were up-to-date and there were no recent illnesses or contacts with anyone ill. Her mother, it turns out, was changing her diaper when she noticed her baby wheezing and coughing. She picked the child up, but the breathing difficulties continued. In a panic, the mother called 911.
Judging the best option
As we all do, I went through my mental rolodex of solutions. I thought about using sedation — such as Ketamine or Versed — or using a paralytic, such as Succinylcholine. However, since the airway — although partially compromised — was at least functioning “well enough,” I decided against all these as I didn’t want to make things worse.
Being the cautious person I am, I called for an anesthesiologist to come to the bedside. If things went well, I wouldn’t need him, but if they didn’t, we could both plead our cases to the jury.
Now the breath holding started...ours, that is.
When everything seemed ready and after saying a quick prayer under my breath, I had one nurse hold the child’s body down and another hold the head. We did this without the comfort of sedation, so I wanted things to go seamlessly.
Using a laryngoscope with a mac blade, I put the blade in on the right side of the mouth and swept the tongue left. A glint of gold appeared, but disappeared as the child moved her tongue, and coughed. I retreated, then tried again, this time with the McGill forceps open. A better view of gold appeared briefly, then disappeared behind the tongue.
I retreated again and muttered another quick prayer. Now emboldened, I made the third attempt. The gold glinted again, and I made sure to watch the forceps close over the metal firmly, slowly pulling it out of the mouth. Success!
Talk about such a great feeling of relief and satisfaction, and let’s not forget the gratitude to my guardian angels.
I hadn’t realized it, but later one of the nurses commented to me, “Did you realize it was completely silent while you were extracting the foreign body? We were all holding our breath.” I hadn’t. I was too focused and absorbed in the task at hand. Any good ED or EMS team functions as an inseparable unit, and everyone has a stake in the outcome. It is my belief that this collective energy — this collective good will — makes for a great deal of healing for our patients. It’s a good feeling to be part of such a good team, and I’m proud to be associated with the great group of nurses and medics we enjoy at our hospital.
A minute later, I took a final look to make sure I could see the epiglottis and cords well. There was some edema, and some blood-streaked mucus, but the airway looked ok. I then ordered some IV steroids to prevent more edema, and had racemic epinephrine nebulized to vasoconstrict swollen tissues. I called the ENT specialist and the resident, and admitted the child.
When things settled down, I looked more closely at the gold object, and, to my surprise, it was an angel! The object was an earring belonging to the mother. It seems we all really did have an angel after all!
If you read my articles routinely, you know how I like take-home lessons. What are the lessons learned here?
• Sometimes the thing to do is to wait and plan if you have the time, rather than attack immediately.
• Put the odds in your favor, whether it is equipment, personnel, or other experts.
• The EMS team was right-on with their assessments and management decisions. They appropriately decided that the airway was “good enough” for a rapid transport (although they were ready for deterioration).
• Develop and maintain a spiritual life. I always say a prayer before this type of patient. In the words popularized by Carl Jung, “Invoked or not invoked, God is present.” You may as well call on His help too and maybe an angel will appear!
